 |
 |  |  |  |  |  |  | | | Se avete feedback su come possiamo rendere il nostro sito più consono per favore contattaci e ci piacerebbe sentire da voi. | |
|
|
 |
 |
|
|
 |
|
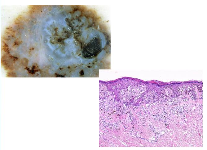
Visite specialistiche di diagnosi, prevenzione e cura di tutti i tumori della pelle:
nevi, melanoma, neoplasie cutanee non melanocitarie benigne e maligne.
Dermatoscopia, follow-up melanoma e neoplasie cutanee maligne non melanoma e altre neoplasie cutanee, consegna esami istologici. Chirurgia dermatologica, prelievi bioptici.
 |
|